Dental Bridges Gallery

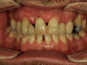
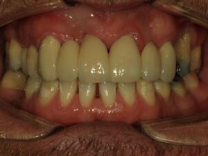
Case 1 – Bridge replacement

image

Services

We offer a wide range of dental treatments.

More Information
invisalign simply health CQC accreditation
contact

Send us a message now. We look forward to hearing from you.


140 Oxford Road, Kidlington, OX5 1DZ
01865 951861 info@thewhitebridgeclinic.co.uk
Opening Hours
Day
Hours
Monday
9:00am – 5.30pm
Tuesday
9:00am – 6.15pm
Wednesday
9:00am -5.30pm
Thursday
9:00am – 5.30pm
Friday
9:00am – 4.30pm
Saturday - 2 per month
9:00am – 4.30pm

Fast train links into London, on site parking & disabled access

Areas we serve include: Summertown, Kidlington, and North Oxford