Advantages over Composite Bonding and Comprehensive Planning for Ceramic Restorations
At The White Bridge Clinic, we are committed to utilizing cutting-edge technology to provide our patients with exceptional dental care. In this blog post, we will explore the numerous benefits of in-house 3D design and printed veneers, highlighting their advantages over composite bonding and their role in comprehensive planning for ceramic restorations. These advanced techniques offer superior aesthetics, durability, customization, and a seamless treatment experience. Let’s delve into the benefits that make this approach a game-changer in modern dentistry.
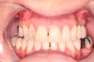
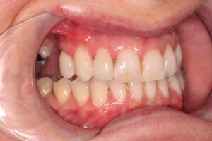
- Enhanced Precision and Aesthetics: In-house 3D design and printed veneers revolutionize the process of creating dental restorations. Utilising advanced digital scanning technology, our dental professionals can capture precise impressions of the patient’s teeth, ensuring a flawless fit and exceptional aesthetics. Compared to composite bonding, which may not perfectly match the natural teeth, 3D-designed veneers offer unparalleled customisation, resulting in a seamless blend that mimics the appearance of natural teeth.
- Durability, Stain Resistance, and Minimal Tooth Preparation: 3D-designed and printed veneers are typically crafted from high-quality materials such as porcelain or ceramic. These materials provide exceptional durability, stain resistance, and longevity. With minimal tooth preparation required, more of the natural tooth structure can be preserved, maintaining the integrity of the teeth. In contrast, composite bonding, while durable, may be more prone to staining and chipping over time, requiring potential repairs or replacements.
- Time Efficiency and Streamlined Workflow: In-house 3D design and printing significantly reduce the turnaround time for veneer creation. Unlike traditional methods that involve sending impressions to external laboratories, our advanced technology allows us to design and manufacture veneers within days. This streamlined workflow means less waiting time for our patients, ensuring a faster and more efficient treatment process.
- Comprehensive Planning for Ceramic Restorations: The benefits of in-house 3D design and printed veneers extend beyond aesthetics. For patients requiring multiple ceramic restorations or complex dental cases, comprehensive planning is crucial. Digital smile design enables us to digitally map out the desired aesthetic outcome and create virtual simulations of the planned restorations. Patients can actively participate in the treatment planning process, making informed decisions about their desired results.
- Improved Communication and Collaboration: In-house 3D design and printing technology facilitate enhanced communication and collaboration among the dental team, the patient, and any specialists involved in the restorative process. Visual representations, such as mock-ups and interactive discussions, allow for greater patient involvement and satisfaction. Precise digital designs can be easily shared, ensuring accurate fabrication of the final ceramic restorations and a seamless treatment experience.
In-house 3D design and printed veneers offer a host of benefits that surpass those of composite bonding. From enhanced precision and aesthetics to durability, stain resistance, and minimal tooth preparation, these veneers provide superior results and longevity. Additionally, the comprehensive planning capabilities of 3D design technology enable patients to actively participate in the treatment process, ensuring personalized outcomes for ceramic restorations. At The White Bridge Clinic, we are proud to offer these advanced techniques, allowing us to deliver exceptional dental care and create beautiful, natural-looking smiles. If you are considering veneers or ceramic restorations, we invite you to schedule a consultation with our experienced dental team to experience the transformative benefits of in-house 3D design and printed veneers.











